Tech
Samsung to use old Galaxy phones for ophthalmic health care
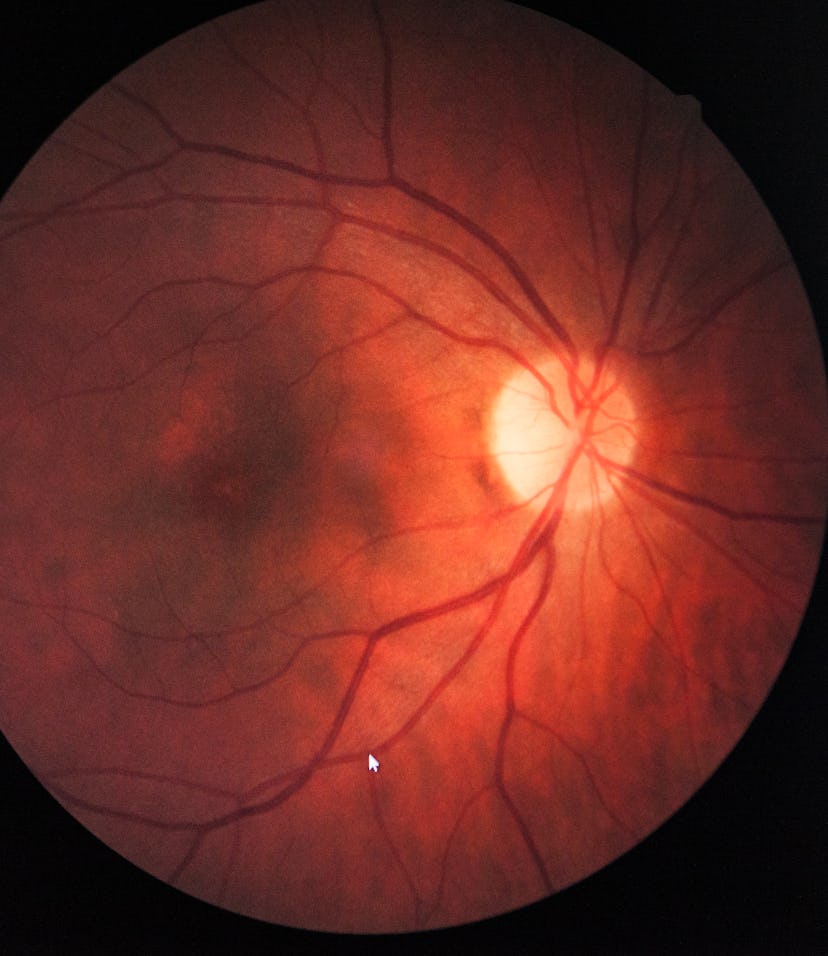
The “Eyelike fundus camera” will help doctors diagnose eye diseases on the spot and keep smartphones from being scrapped at the same time.

Leftover units of phones and other gadgets weigh heavily on the earth, and they consistently contribute to our already existing problem of electronic waste and pollution. Samsung has tried to mitigate the spread of electronic waste by repurposing its old Galaxy handsets through its Galaxy Upcycling program, with a special emphasis on health care.
According to the company, it’s introduced the “Eyelike fundus camera” which turns old Galaxy phones into diagnostic tools for ophthalmology. Fundus photography involves taking images of the retinas for examination. The devices are still in their infancy, but if the project takes off, it could help ophthalmologists in detecting and diagnosing macular degeneration, glaucoma, and diabetes-induced retinopathy.
“This Galaxy Upcycling program,” the company says, “is helping to address approximately one billion global cases of vision impairment that are preventable with proper diagnosis.”
Better, accessible eye health care — The technology has yet to hit medical facilities but Samsung is currently testing it at the International Agency for the Prevention of Blindness with the help of the Yonsei University Health System in Korea. Yonsei's Sangchul Yoon said, “The combination of using multiple optical technologies and artificial intelligence, coupled with camera performance of a Galaxy smartphone, created an affordable medical device that was just as capable as a fundus camera used by medical professionals.”
“This not only solved a health issue,” Yoon added, “but a growing environmental concern as well.”
Samsung's Galaxy Upcycling Program started in 2017 with the hopes to reuse Galaxy devices in creative and innovative ways. With this ophthalmic-specific initiative, Samsung will offer doctors an app that curates patient data and offers treatment "at a fraction of the cost of commercial instruments."
In other examples, Samsung's upcycling program has also offered users more options to customize their older devices into IoT devices, including baby and pet monitors. You can also turn your old Galaxy phone into a Samsung security system. The possibilities aren’t limitless but, each new one reduces e-waste, so we’re all in favor of it.